Skip to main content
Medmastery
My courses
Course library
Magazine
Webinars
CME
Muhammad
Muhammad
Basic Membership
Upgrade to Pro
Claim CME credits.
Account info
Personal info
Subscription
Log out
Lines, tubes, and devices quiz
Cancel
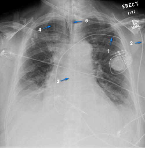
Match the following tubes, lines, and devices with the highlighted structures on the X-ray.
Choose all that apply
1 is a cardiac pacemaker
2 is a CVP
3 is a NG tube
4 is an ETT tube
5 is an EKG lead
Question
1
of
5