Skip to main content
Medmastery
My courses
Course library
Magazine
Webinars
CME
Muhammad
Muhammad
Basic Membership
Upgrade to Pro
Claim CME credits.
Account info
Personal info
Subscription
Log out
Localization of disease in the thorax quiz
Cancel
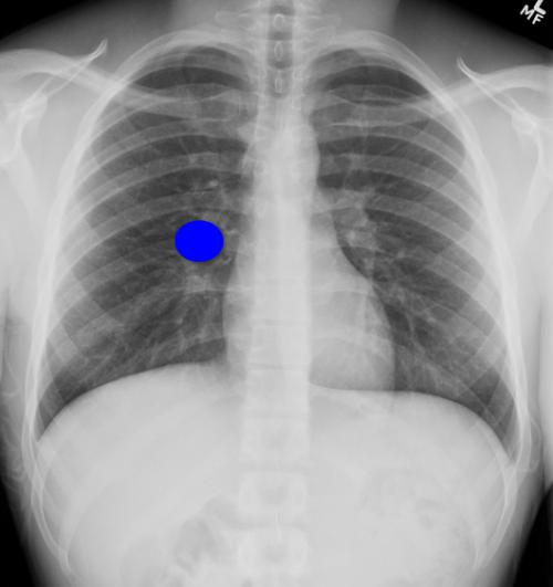
In which anatomical areas could the simulated mass potentially be localized on this PA?
Choose all that apply
Anterior chest wall
Anterior pleura
Right lung
Right hilum
Mediastinum
Posterior pleura
Posterior chest wall
Question
1
of
5